おかげさまで開設25周年COCHESGREMIS.COM 創業祭

COCHESGREMIS.COM

詳しくはこちら
マイストア マイストア 変更
  • 即日配送
  • 広告
  • 取置可能
  • 店頭受取

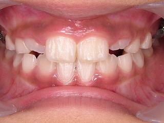
HOT ! 混合歯列期の矯正治療 混合歯列期の矯正歯科治療/医歯薬出版株式会社

※COCHESGREMIS.COM 限定モデル
YouTuberの皆様に商品の使い心地などをご紹介いただいております!
紹介動画はこちら

ネット販売
価格(税込)

7500

  • コメリカード番号登録、コメリカードでお支払いで
    コメリポイント : 7ポイント獲得

コメリポイントについて

購入個数を減らす
購入個数を増やす

お店で受け取る お店で受け取る
(送料無料)

受け取り店舗:

お店を選ぶ

近くの店舗を確認する

納期目安:

13時までに注文→17時までにご用意

17時までに注文→翌朝までにご用意

受け取り方法・送料について

カートに入れる

配送する 配送する

納期目安:

2026.03.09 0:48頃のお届け予定です。

決済方法が、クレジット、代金引換の場合に限ります。その他の決済方法の場合はこちらをご確認ください。

※土・日・祝日の注文の場合や在庫状況によって、商品のお届けにお時間をいただく場合がございます。

即日出荷条件について

受け取り方法・送料について

カートに入れる

欲しいものリストに追加

欲しいものリストに追加されました

混合歯列期の矯正治療 混合歯列期の矯正歯科治療/医歯薬出版株式会社の詳細情報

混合歯列期の矯正歯科治療/医歯薬出版株式会社。症例紹介】混合歯列期に非抜歯で矯正治療を開始した10代女性 | 浦安駅3。混合歯列期(小児矯正)の治療開始時期について : つちかわ矯正歯科。混合歯列期における矯正と整形治療の専門書。。混合歯列期(phase1)の矯正 | さいたま市大宮区。- 書籍名: Orthodontic and Orthopedic Treatment in the Mixed Dentition- 著者: James A. McNamara, Jr. / William L. Brudon- 日本語タイトル: 混合歯列期の矯正治療- 出版社: 東京医学社ご覧いただきありがとうございます。痛気がみえる 全10巻セット(vol.1〜vol.10)
  • 混合歯列期の矯正歯科治療/医歯薬出版株式会社
  • 症例紹介】混合歯列期に非抜歯で矯正治療を開始した10代女性 | 浦安駅3
  • 混合歯列期(小児矯正)の治療開始時期について : つちかわ矯正歯科
  • 混合歯列期(phase1)の矯正 | さいたま市大宮区

同じカテゴリの 商品を探す

ベストセラーランキングです

このカテゴリをもっと見る

この商品を見た人はこんな商品も見ています

近くの売り場の商品

このカテゴリをもっと見る

カスタマーレビュー

オススメ度  4.7点

現在、3707件のレビューが投稿されています。